
▼
2019年11月2日
寻境
李铁军显微摄影艺术展
在武汉大学万林艺术博物馆开幕
▼先让我们开启一段奇妙的视觉旅程感受微观世界的壮丽奇景生命之美
▲ 《生命之美》,Video,2016

寻境:李铁军显微摄影艺术展
彭志翔 / 文
中山大学光华口腔医学院教授,武汉大学校友
每一个生命都在跋涉中寻找。有的就找到了什么,比如李四光先生,他骑着毛驴发现了珞珈山水。然后有很多人来这方山水之间悟道,再出发寻找。校友李铁军就是其中的一个,这位北大口腔病理学知名教授,在显微镜下的生命微观视野里,发现了另一方天地洪荒,它的包罗万象,与我们置身其中的宏观宇宙相比,完全不遑多让。那些景观令我们每个人惊叹不已。
其实在很久以前,智慧的光就已先于显微镜光束,同时照射进了宏观与微观世界。庄子就说过:天下万物,没有比兔毛尖更大的东西了,也没有比泰山更小的东西了。又说:天地与我并生,而万物与我为一。
所以,当我们将自己的身体放大之后,发现里面竟然有,日月星辰,山岳海洋,鱼虫鸟兽,神话史诗,等等一切时,就没有什么好奇怪的了。李铁军教授以医学专家之身,跨界摄影,在科学与艺术之间作逍遥游,这提醒了我们重新去打量两者之间的关系。从器物角度观之,科学进步无疑助力了艺术的发展。十七世纪荷兰画家维米尔,就是因为与精通显微镜的科学家列文虎克交友,才能使用当时罕见的暗箱技术,捕捉光线和色彩,所以他的那些不朽名画,就有了一种非常明净和真实的影像光感;而从精神角度观之,那些登临或接近科学之巅的人们,一定也看到了艺术之光。如同爱因斯坦在那个历史性的早晨,突然魂不守舍时,走到钢琴前开始弹奏起来,就在一阵阵激荡的琴声中,相对论诞生了。
因此,科学与艺术,在至高的创造之境之中,是双向突破,彼此相通的,一如米开朗基罗的壁画,《创世纪》中,上帝与亚当各自伸出的手,两个指尖眼看就要触碰到了,创造即将发生。那么,究竟是谁创造了谁,也许是一个言人人殊的问题。或者,他们彼此创造了对方。倘如此,人性与神性,就共存于你我体内了,如孟子曰:万物皆备于我。当人类通过天文望远镜,窥探到浩瀚宇宙中,超新星的绚烂爆发时,有人会认为那是神对我们渺小人类投来的一瞥;而当我们打开显微镜,去探寻生命世界的微观景象时,那会不会就是,神把眼睛借给我们,让我们在上帝视角中去发现宇宙万物的奥秘?
西哲言:生命不过是一种想象,这种想象可以突破人世间的任何阻隔。当你看到李铁军教授对生命世界的一个个微观呈现,其中的意象之境有:大漠秋风,杏花江南,鱼翔浅底,鸥掠浪尖,明月冰川,落霞孤鹜,古墓残画,雪山豹骸,你就会发现,一个医学家在追寻真与美之境的路上前行着的身影。就像研究人体解剖的达·芬奇,期待去发现人体中蕴藏的,那个与大宇宙运行规则相同的小宇宙一样。这些人独具慧眼的追寻,最终都提升了我们。
也许,寻找的意义往往不在于止境之所得。山一程,水一程,你在跋涉中就一点点完成了自我修炼。愿我们每个人都在寻找美与真的路上,实现人的高贵与尊严。

寻境
李铁军显微摄影艺术展
(部分作品)
▼
向左旋转 横屏观看

▲ 飘 牙龈组织切片X100 明视野 2016
▼
向左旋转 横屏观看

▲ 图腾 脱钙骨组织切片X40 明视野+偏振光 2016

▲ 化蝶 牙龈组织切片局部的镜像 X100 偏振光 2014

▲ 远山 灌墨血管及肌肉组织切片与封片胶交界处 X100 明视野 2012

▲ 大漠秋色 牙齿脱钙火棉胶切片 X40 明视野 2011

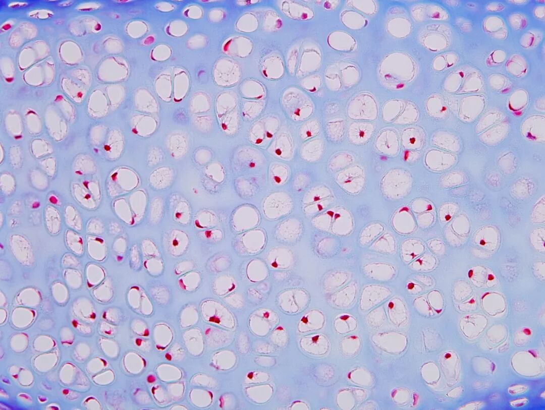
▲ 水中花 软骨组织切片 X100倍 明视野 2011

▲ 春绿 灌墨血管组织切片 X40 倍 明视野 2012

▲ 飞瀑 横纹肌组织切片 X40倍 偏振光 2013

▲ 山水 银染横纹肌组织切片 X100倍 明视野 2016

▲ 画梦 鼻甲及周围黏膜组织切片 X40倍 明视野+偏振光 2013

▲ 太极 发育中的软骨、肌肉和血管组织切片 X40倍 明视野 2013

▲ 无极 灌墨血管及肌肉组织切片 X100倍 明视野+偏振光 2013

▲ 啼鸟 发育中的软骨组织切片 X12.5倍 明视野 2017

▲ 萌发 脱钙牙齿组织切片 X12.5倍 偏振光 2013

▲ 荒原 牙齿磨片-根部牙骨质和牙本质 X100倍 明视野 2013

▲ 雪夜 脱钙骨组织与肌肉组织切片 X40倍 偏振光 2013

▲ 镶钻 牙槽骨、牙根及牙龈组织联合切片 X12.5 偏振光 2013

▲ 凝固的时间 脱钙骨组织切片X40 偏振光 2015

▲ 花海 牙体组织及牙髓组织切片 X100 明视野 2012

▲ 轮回 脱钙骨组织切片 X40 偏振光 2013

▲ 欢乐颂 脱钙骨组织切片局部的镜像 X40 明视野+偏振光 2014

▲ 荷影 关节盘软骨组织切片 X40 明视野 2012

▲ 开屏 未脱钙骨组织磨片 X100 偏振光 2013

▼
展名题字
王延鹏
组织学技术支持
艾佧科技(北京)有限公司
(显微艺术摄影创作基地)

▼
关于作者

李铁军北京大学口腔医学院副院长,口腔病理科主任,教授、博士生导师。
兼任中华口腔医学会常务理事、中华口腔医学会口腔病理学专业委员会前任主任委员、中华口腔医学会口腔生物医学专业委员会候任主任委员等职。
1979-1984武汉大学口腔医学院本科,1984-1987武汉大学口腔医学院硕士,1992-1995英国伯明翰大学牙学院博士,1995-1998日本鹿儿岛大学齿学部博士后。主要研究方向为颌骨牙源性囊肿和肿瘤的生长特征与临床行为。2006年获国家杰出青年科学基金资助,曾获国家863子课题、国家自然科学基金重点项目资助。迄今在国内外发表学术论文100余篇,其中SCI收录69篇;2014-2018年爱思唯尔Scopus数据库发布的中国高被引学者榜单上,连续5年被列在医学类前100位学者;主编专著6部;2001年获中国高校自然科学奖二等奖,2005年获教育部提名国家科学技术奖自然科学奖二等奖,2006年北京市科技进步三等奖;享受国务院颁发的政府特殊津贴待遇,2011年获卫生部有突出贡献中青年专家称号,2012年获中国科协全国优秀科技工作者称号。李铁军教授业余爱好摄影,中国摄影家协会会员。曾出版《生命之美》显微摄影写意集,在国内外大学和艺术博物馆举办数次个人影展,其显微摄影作品在多种摄影专业期刊和媒体上发表。

▼
关于展览

口腔新视界 科学艺术展
展览版块
▼
寻境
李铁军显微摄影艺术展
融合
青年艺术与口腔医学跨界交融
寻源
新视觉足迹
求真
口腔科学感官体验
▼
出品人:边专
总策划:陈智
艺术顾问:魏光庆
策展人:蒋楚剑
艺术总监:鞠滕
▼
开幕时间
2019年11月2日 14:30
展览日期
2019年11月2日—11月17日
▼
主办单位
武汉大学口腔医学院
展览地点
武汉大学万林艺术博物馆